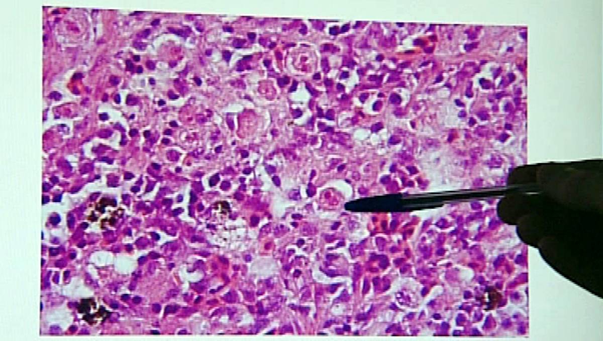
Laksesykdom i to anlegg i Nord-Norge
Vil ha større anlegg og mer laks i merdene - framtidinord.no
Nye undersøkelser avkrefter dødelig laksesykdom ved et anlegg utenfor ...
Her er de mest populære studiene ved UiT - framtidinord.no
Fem anlegg over lusegrensa – en av dem i fire uker på rad - framtidinord.no
Overvåker flere anlegg for ILA-smitte - framtidinord.no
Søker om å få plassere lukket anlegg i Jøkelfjorden - framtidinord.no
Mistanke om laksesykdom på to Mowi-anlegg i Alstahaug - Helgelands Blad
Betaling ved legebesøk på Lyngen legekontor - framtidinord.no
Regjeringen foreslår å legge ned flere militære anlegg - framtidinord.no
- Det er er ikke forbud mot landbaserte anlegg ved nasjonale lakseelver ...
13 sjåfører bidro til statskassa ved å kjøre for fort - framtidinord.no
Varsler om snøskred ved Lyngseidet: - Ingen er tatt - framtidinord.no
- Det er ikke forbud mot landbaserte anlegg ved nasjonale lakseelver
Her ligger de tre reinkadavrene rett ved riksveien - framtidinord.no
Nytt tilfelle av laksesykdom - NJFF
Mistanke om laksesykdom i oppdrettsanlegg i Trøndelag - TV 2
Smittsom laksesykdom påvist ved oppdrettsanlegg i Troms – NRK Troms og ...
Påvist laksesykdom ved oppdrettsanlegg i Hammerfest – NRK Troms og Finnmark
Laksesykdom påvist ved Salmar-anlegg
Utbrudd av farlig laksesykdom - adressa.no
Mistanke om laksesykdom på Wilsgaard-anlegg - folkebladet.no
Her er faren størst for dødelig laksesykdom - adressa.no
Dødelig laksesykdom sprer seg til stadig flere anlegg : r/norge
Mistanke om smittsom laksesykdom ved oppdrettsanlegg i Troms ...
Laksekommunen vil legge bedre til rette for fiskerne - framtidinord.no
Utbrudd av laksesykdom - kystogfjord.no
Denne avgangen er forsinket - framtidinord.no
Mistenker sykdom ved Nordlaks-anlegg - kystogfjord.no
Trapper opp sikkerheten rundt alle Air Products-anlegg - framtidinord.no
Permitterer 76 ansatte ved Andfjord Salmons anlegg – NRK Nordland
Her er det påvist laksesykdom - ht.no
Vil utrede demo-anlegg for flytende havvind - framtidinord.no
Værstudio - framtidinord.no
Fryktet laksesykdom sprer seg sørover i Trøndelag - mn24.no
Canada åpner fullskala CO2-anlegg - framtidinord.no
Opphever restriksjoner mot laksesykdom - Havpuls
Mistenker laksesykdom - driva.no
Havbruk, Oppdrett | Laksesykdom påvist ved oppdrettsanlegg i Hammerfest
- Lite som tyder på at villaksen blir smittet av dødelig laksesykdom ...
Alvorlig laksesykdom påvist i Midt-Norge for første gang på 15 år - TV 2
Fryktet laksesykdom – det avvises av fiskeforvalterne - innherred.no
Se oversikten: Disse stedene har høyest badetemperatur - framtidinord.no
Flere løyper har nå åpnet før helga - framtidinord.no
Herøy : Merder på sjøen ved Herøy lakseoppdretts anlegg på Herøy ...
Stor motstand mot lakseskatten i flere havbrukskommuner - framtidinord.no
Fylkesvei i Nordreisa var stengt - framtidinord.no
Tiltalt for å ha slått med flaske - framtidinord.no
Alvorlig laksesykdom påvist i Vesterålen
Frykter alvorlig laksesykdom – NRK Nordland
Alvorlig laksesykdom påvist i Vesterålen – NRK Nordland
Smittsom laksesykdom sprer seg – NRK Trøndelag – Lokale nyheter, TV og ...
Laksesykdom kan gi kjempetap – E24
Mistanke om smittsom laksesykdom – TrønderPorten.no
Miljø - forskning.no
Tine legger ned flere anlegg — beholder produksjonen i Balsfjord ...
Alvorlig laksesykdom – TrønderPorten.no
Fryktet laksesykdom bekreftet
«Ukjent» laksesykdom skal forskes på
Oppdrett, sykdom | Alvorlig laksesykdom i Tysvær
Her kjem Noregs største anlegg for oppdrett av laks på land – NRK Vestland
Nytt tilfelle av laksesykdom – 1,4 millioner kan være rammet ...
Legerapporten er klar: Brøt konkurranseprinsipp ved å ansette ...
Dette kan du oppleve på museets anlegg i sommer – helt gratis ...
Skal ha oppdaget laks full i lus på anlegg som var brakklagt
Anlegg Nord fortsetter i Nord-Troms: – Målet er å skape forutsigbar ...
Laksesykdom bekreftet i oppdrettsanlegg i Alver
(PDF) Ny laksesykdom forårsaket av rickettsie
Infeksiøs lakseanemi, Namsos | Fryktet laksesykdom påvist i Namsos
Flere tonn med laks døde ved Mowi-anlegg i Flekkefjord
Slår alarm etter smitte av alvorlig laksesykdom
Smittet oppdrettsanlegg tømt for fisk - adressa.no
Påvist laksesykdom: - Aldri sikker om faren for spredning
Laksesykdom kan føre til milliontap
Nytt utbrudd av mystisk laksesykdom i Enningdalselva
Alvorlig utbrudd av laksesykdom
Meir fiskedød og luseproblem - morenytt.no
Havbruk, Mattilsynet | Mattilsynet mistenker alvorlig laksesykdom i ...
Laksesykdom fører til laksefiskeforbud på Kolahalvøya – NRK Sápmi ...
Laksesykdom påvist i Sunnhordland – Radio Haugaland
Hva er et SD anlegg? - Zaphire.no
Slaktet 170.000 fisk etter mistanke om laksesykdom – E24
Tiltak mot alvorlig laksesykdom – TrønderPorten.no
Ny strategi trengs for å bekjempe laksesykdom | iLaks
Laksesykdom funnet hos Lerøy i Trøndelag
20 settefiskanlegg tester ut miljø-DNA mot laksesykdom | iLaks
Får konsesjon til utvidelse av næringsområde - lister24.no
Fant dette rett ved lakseelva: – Nesten kriminelt å ikke si ifra ...
Om oss | Anlegg Øst Entreprenør
Lover fortsatt kamp mot kutt i døgnenheten ved Distriktspsykiatrisk ...
Vil få laksesykdommer under kontroll med helhetsblikk - SINTEF
Frykter ny laksesykdom – NRK Trøndelag – Lokale nyheter, TV og radio
Norsk smolt får skylden for russisk laksesykdom
Smittsom laksesykdom oppdaget i fire lakseoppdrettsanlegg i Lerøy ...
Får nei til lakse-utvidelse - kystogfjord.no
Laksesykdom ute av kontroll
Hvorfor ikke gjøre 2025 til året du går inn i historien – ved å bevare ...
Lege anmeldt til politiet : «Han valgte å gjøre arbeidet ved UNN på en ...
Laksesykdom påvist i oppdrettsanlegg i Vega – NRK Nordland
Utbyggingen av verdens største flytende havvind-anlegg er godkjent ...
Tag: nyheter
Vurderer å hive laksenæringa ut av det gunstige permitterings-regimet ...
SSB: Mer pukkellaks enn atlantisk laks fanget i norske fjorder ...
Krever stans av dagens anlegg: – Denne situasjonen må opphøre ...
Miljødirektoratet: – Tidenes dårligste laksefiskeår i Norge ...
Tag: fiskesykdommer
Fiskehelserapporten: 105,4 millioner laks og ørret døde i produksjon i ...
Smitteveier for pankreassykdom
Om denne planen blir gjennomført, vil den få svært negativ innvirkning ...
Laks i semi-lukkede anlegg— en kostnadsanalyse
For laksenæringa er det viktig å få deg til å tro at dette er kroken på ...
Nå er trafo-kontrakt på 169 millioner skrevet under: – Veldig glade for ...
Svenske egg solgt hos Norgesgruppen og Coop tilbakekalles etter ...
Færre permitteringer i lakseselskapene: – Vi tar en risiko ...
Based on this image's title: “Laksesykdom ved to anlegg - framtidinord.no”