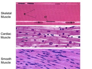
KIN 2230 - Lecture 3 and 4.pdf - LECTURE 3: Skeletal Muscle & Human ...
KIN 2230 - Lecture 1 - notes - LECTURE 2: Skeletal Muscle & Human ...
KIN 2230 - Lecture Notes - LECTURE 2: Skeletal Muscle & Human Movement ...
KIN406 - Lecture 3 part 1 - KIN Lecture 3: Skeletal Muscle Adaptations ...
Lecture 1 Skeletal muscle and human movement.pdf - Lecture 1: Skeletal ...
KIN406- Lecture 2 - Skeletal Muscle Development and Aging - KIN Lecture ...
Lecture 3 - Skeletal and Cardiac Muscle Biochemistry Flashcards | Quizlet
Skeletal Muscle Lecture Notes - Anatomy Lecture Notes Section 3 ...
Lecture 3 and 4 Kin: Axial Skeletal Muscle and Joint interactions ...
Anatomy Lecture 3 skeletal system - Anatomy Lecture 3: The Skeletal ...
Kin 2222 lecture notes - ... - Midterm lecture Skeletal Muscle - 650 ...
Lecture 3 and 4 - The heart as a pump - Lecture 3 and 4 The Heart as a ...
Muscle Physiology, Lecture 3: Skeletal Muscle Structure - YouTube
Muscle Lecture 1 - Human Anatomy Lecture – Muscle Tissue outline Types ...
SOLUTION: Physiology 2 lecture 3 skeletal muscle - Studypool
Tissues Lectures 3 and 4 - Tissues Lectures 3 & 4 Bone: Hard, Calcified ...
Lecture 10 - Muscle Contraction.pdf - KIN 121 The Functional Basis of ...
Lecture 10 - Muscle Contraction - Student Notes.pptx - KIN 121 The ...
kin 2230 week 1 Skeletal muscle and human movement I Flashcards | Quizlet
Lecture 3 Skeletal and Smooth Muscle Physiology Flashcards | Quizlet
Lecture - 3 The Skeletal System | PDF | Skeleton | Bone
SOLUTION: Lecture 3 skeletal system - Studypool
Lecture 3: Skeletal Muscle, Smooth Muscle, Bones & Joints Flashcards ...
Chapter 10 Part 1 Skeletal Muscle Tissue - Lecture Flashcards | Quizlet
SOLUTION: Lecture 4 mt skeletal system - Studypool
SOLUTION: lecture 3 skeletal system - Studypool
A&P I Lecture Test 3 - Muscle Organization Tissues Diagram | Quizlet
Lecture Notes on KIN 2230: Exercise Physiology and Homeostasis - Studocu
Exercise 12 & Skeletal Muscle Structure LECTURE EXAM!!!!!! Diagram ...
SOLUTION: Fau a p lecture 10 gross anatomy of muscle - Studypool
SOLUTION: Lecture activity skeletal system docx - Studypool
BIO 3331 Lecture 9.3-9.5 Muscle | PDF | Muscle Contraction | Skeletal ...
SOLUTION: Class iii anatomy of the skeletal system bone lecture 3 ...
Lecture 3 and 4 | PDF
SOLUTION: Skeletal System lecture notes - Studypool
LECTURE 3 AND 4 REVIEWER | PDF | Fluid Dynamics | Boundary Layer
Review for Lecture 6 - Muscles are: Contractible Extensible Elastic ...
There are 3 types of muscle tissue: skeletal smooth cardiac - ppt download
(PPT) HUMAN ANATOMY Chapter 1 Lecture Chapter 9 The Muscular System ...
SOLUTION: The human skeletal system - Studypool
Amazon.com: Anatomy Lab Stretching, Muscular, and Skeletal Human ...
Poster Human types of muscle cells skeletal, cardiac, and smooth ...
Lecture 3 and 4.pptx
Skeletal muscle structure with anatomical inner layers outline diagram ...
Lectures 3 and 4 | PDF
Chapter 10 Muscle Tissue Lecture Presentation by Lee
Gross Anatomy Of Skeletal Muscle And Microscopic Anatomy
Skeletal muscle structure layers with anatomical closeups outline ...
Lectures 3 and 4 (Self) | PDF
Understanding Muscle Anatomy and Function: Key Concepts Explained ...
Lecture 30: Muscle Contraction Flashcards | Quizlet
Lecture 3 | PDF
Lectures 3 and 4 Copyright 2020 | PDF | Copyright | Copyright Infringement
9.3 Skeletal muscle fibers contain calcium-regulated molecular motors ...
Lectures 3 and 4 Stainless Steels | PDF | Steel | Stainless Steel
Skeletal Muscle Slides Ass 4 Muscle Tissue MUSCLE NERVOUS TISSUE
Notes For Lectures 3 and 4 | PDF
Skeletal Muscle Cell Structure
2.02 Skeletal Muscle Chart : Anatomy, Skeletal Muscle – ICKAH
Skeletal Muscle Anatomy Diagram
Skeletal Muscles Diagram Anterior Skeletal Muscle Anatomy Diagram
skeletal muscle fiber contained 12.3 Diagram | Quizlet
Smooth Cardiac Skeletal Muscle Diagram
Molecualr mechanism of Skeletal Muscle Contraction | PDF
Skeletal Muscle Types
Structure of Skeletal Muscle Fiber Diagram | Quizlet
Chapter 9: Skeletal Muscle Tissue Diagram | Quizlet
Skeletal Muscle
Skeletal Muscle Contraction Types
contraction of a skeletal muscle Diagram | Quizlet
Skeletal Muscle Tissue Slides Anatomy Practical 2: Identify Microscope
Attachment For Skeletal Muscle Example at Aaron Copeley blog
Skeletal Muscle Longitudinal Section
Skeletal Muscle Tissue Diagram
Skeletal Muscle Tissue Labeled Diagram
Skeletal Muscle Indian Institute Of Science
Skeletal Muscle Slide Labeled
Anatomy & Physiology Cheat Sheet: Skeletal, Muscular, & Integumentary ...
Skeletal Muscle Striations
Skeletal Muscle Striated
Structure Of Skeletal Muscle
Skeletal Muscle Fibers Microscope
the skeletal and muscular systems worksheet
Skeletal Muscle Activity Chapter 6
practical 3- skeletal muscle Diagram | Quizlet
Lecture 3,4,5,6,7 Flashcards | Quizlet
Questions For Lectures 3 and 4. PHY111 | PDF
Shapes of skeletal muscles with various muscular types outline diagram ...
Skeletal Muscle #3 by Science Photo Library
Parts Of Skeletal Muscle
Skeletal System | PPTX
Chapter 3: The Muscular System
Muscle lectures (1).ppt
Skeletal Muscles Blank Diagram
(PPT) I.Sensory Systems II.Skeletal Muscles A. Structure B. Contraction ...
axial skeleton human anatomy. Mbbs....pdf
Understanding Exercise Thresholds: Key Concepts for KIN2230 | Course Hero
Based on this image's title: “KIN 2230 - Lecture 3 and 4 - LECTURE 3: Skeletal Muscle & Human ...”